Our Laboratory Services For Clinical Trials

With HBRI’s laboratory services for clinical trials, your samples are in safe hands. We offer comprehensive laboratory testing, from safety to specialty, ensuring that you meet your objectives.

Our fully comprehensive laboratory capabilities include:

  • Molecular biology testing – (q)PCR, RT-(q)PCR, dd-PCR, Multiplex PCR, BioFire FilmArray, Seegene panels
  • Flow cytometry – BD FACS Canto™ II (12-Color), Cytek Aurora (>40 Colors), BD FACS lyric whole blood, bone marrow, PBMC
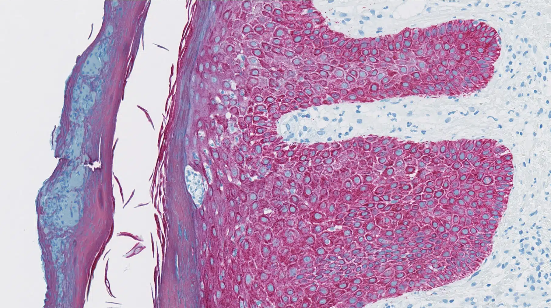
  • Histopathology and anatomic pathology – Multiplex and standard IHC, Immunostaining, ISH/FISH, 200+ biomarkers FFPE, Cryosections Leica, Roche Ventana, RUO/IVD
  • Genetics/NGS – NGS (WEG, WGS), mutation analysis, Illumina short read sequencing (MiSeq, HiSeq, NextSeq, NovaSeq), PacBio and Oxford Nanopore Technologies long read sequencing & Sanger, Nanostring
  • Cell and Gene Therapy – up to 4th field HLA typing, minimal residual disease testing (MRD), Replication Competent Lentivirus/Retrovirus testing (RCL and RCR), Vector Copy Number testing (VCN), Vector Integration Site analysis (VIS/ISA), Replication competent Adenovirus testing, therapeutic vector copies, shedding studies (PK/PD) and immune repertoire sequencing, TAbs/ADA for therapeutic vectors/proteins, Viral vector sequence integrity by sequencing.
  • Microbiology – culture and identification, antibiotic resistance testing, microbiome analysis (sequencing) targeted sequencing, bacterial whole genome sequencing including hybrid assemblies of short and long read sequencing, whole metagenome sequencing
  • Cell Isolations – PBMC, BMMC, CD138+ isolations performed in-house, pre-analytical processing network of labs
  • ELISA-based Assays – ELISA, MSD S600 Meso Scale Discovery, Luminex, Ella ProteinSimple, Quanterix Simoa HD1
  • Bioanalysis – PharmacoKinetics, drug performance with PK, PD/ADA, small & large molecules, ELISA-based methods LC-MS/MS
  • Functional cell-based assays – T-cell activation, ADCC, ELISpot
  • Virology testing -Virus Culture, TCID50, neutralization assays, inhibition assays, viral load, genotyping & phenotyping, short and long read sequencing, minor variant analyses, antiviral resistance mutations, consensus sequencing, Virome
  • Digital imaging – Transforming visual results into quantifiable data with Halo® and Visiopharm® Software

Genomic Testing

With over 30 years of experience, let HBRI support your genomic sequencing and testing ambitions.

Biosimilars

Rare Diseases

We facilitate state-of-the-art technology, subject matter expertise, and specialized logistics and operations to accelerate your rare disease development.

Oncology

We provide you with an adaptive, specialist oncology team with access to the latest science and technology to optimize your oncology trials.

IHC (Immunohistochemistry)

With extensive IHC experience, HBRI can support any program with the highest chances of success.

Get in Touch

Reach out to our experts and discover how we can help advance transform your research and advance health